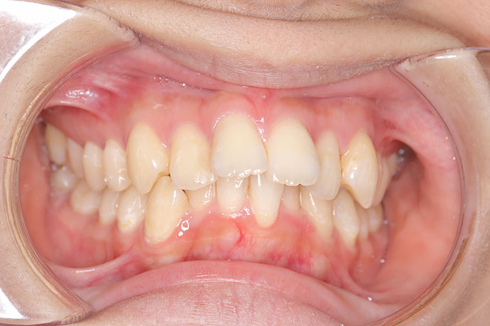
治療前
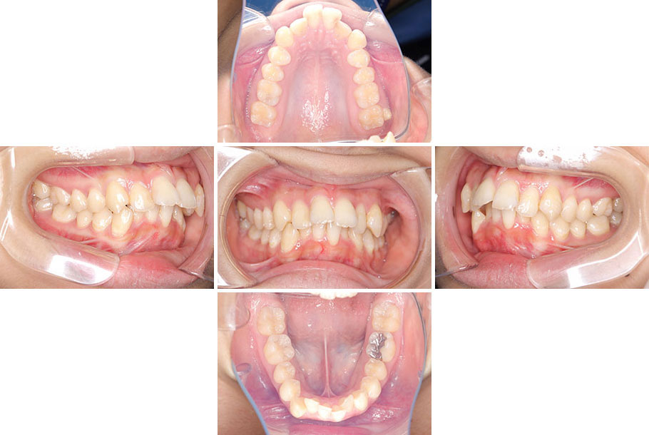
治療後

治療後
治療前
治療後

治療後
| 年齢・性別 | 30代女性 |
|---|---|
| 主訴 | 口が閉じにくい |
| 症状 | 上顎前突、下顎劣成長、叢生 |
| 装置 | ワイヤー矯正(マルチブラケット装置) |
| 抜歯 | 上下顎左右4本抜歯(上下顎両側第一小臼歯) |
| 費用 | 880,000円(税込) |
| 治療期間 | 2年3か月 |
| 副作用 (リスク) |
治療中の違和感・痛み、歯根吸収、歯周病、虫歯、歯肉退縮、歯髄壊死が認められる可能性があるが、この症例については認められなかった。 |
症例集


| 年齢・性別 | 30代女性 |
|---|---|
| 主訴 | 口が閉じにくい |
| 症状 | 上顎前突、下顎劣成長、叢生 |
| 装置 | ワイヤー矯正(マルチブラケット装置) |
| 抜歯 | 上下顎左右4本抜歯(上下顎両側第一小臼歯) |
| 費用 | 880,000円(税込) |
| 治療期間 | 2年3か月 |
| 副作用 (リスク) |
治療中の違和感・痛み、歯根吸収、歯周病、虫歯、歯肉退縮、歯髄壊死が認められる可能性があるが、この症例については認められなかった。 |


| 年齢・性別 | 10代女性 |
|---|---|
| 主訴 | 出っ歯、歯がガタガタしている |
| 症状 | 上顎前突、上下顎前歯叢生、過蓋咬合 |
| 装置 | ワイヤー矯正(マルチブラケット装置) |
| 抜歯 | 上顎左右2本抜歯(上顎両側第一小臼歯) |
| 費用 | 880,000円(税込) |
| 治療期間 | 1年4か月 |
| 副作用 (リスク) |
治療中の違和感・痛み、歯根吸収、歯周病、虫歯、歯肉退縮、歯髄壊死が認められる可能性があるが、この症例については認められなかった。 |


| 年齢・性別 | 10代男性 |
|---|---|
| 主訴 | 出っ歯、歯がガタガタしている、乳歯が残っている |
| 症状 | 上下顎前歯部叢生、下顎右側第二乳臼歯晩期残存、下顎右側第二小臼歯先天性欠損 |
| 装置 | ワイヤー矯正(マルチブラケット装置) |
| 抜歯 | 上下顎4本抜歯(上顎両側第一小臼歯、下顎右側第二乳臼歯、下顎左側第二小臼歯) |
| 費用 | 880,000円(税込) |
| 治療期間 | 2年2か月 |
| 副作用 (リスク) |
治療中の違和感・痛み、歯根吸収、歯周病、虫歯、歯肉退縮、歯髄壊死が認められる可能性があるが、この症例については認められなかった。 |


| 年齢・性別 | 20代女性 |
|---|---|
| 主訴 | 出っ歯、前歯が噛み合わない |
| 症状 | 上下顎前歯叢生、骨格性開咬 |
| 装置 | インビザライン(マウスピース矯正)、顎間ゴム |
| 抜歯 | 非抜歯 |
| 費用 | 1,045,000円(税込) |
| 治療期間 | 1年2か月 |
| 副作用 (リスク) |
治療中の違和感・痛み、歯根吸収、歯周病、虫歯、歯肉退縮、歯髄壊死が認められる可能性があるが、この症例については認められなかった。 |
