MIHってなに?
【日本矯正歯科学会認定医が徹底解説】MIH(エナメル質形成不全)とは?原因・症状・矯正治療の注意点と当院の連携治療について
こんにちは。しま歯ならび矯正歯科の院長・島です。
今回は、近年ご相談の増えている 「エナメル質形成不全症(MIH:Molar-Incisor Hypomineralization)」 について、専門医として最新の研究を踏まえながら、できる限りわかりやすく解説します。
MIHは、主に 6歳臼歯(第一大臼歯)と永久前歯 に現れる先天的な歯の質の低下で、世界的にも患者数が増加している疾患です。
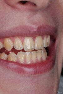
歯が白く濁ったり、黄色〜茶色に変色したり、欠けやすくて虫歯に進行しやすい特徴があります。
そして矯正治療の立場から最も重要なのは、
MIHの歯は固定式装置が非常に外れやすい、その歯の脆さから固定式装置を装着する歯に洗濯することが難しい、という点です。
当院は矯正治療に特化した専門医院のため、MIHそのものの治療(レジン修復・クラウン等)は行いません。そのため、
堺市の小児歯科専門医「ふたぎ歯科医院」 と正式に提携し、MIHの精密治療と矯正治療を連携して進める体制を取っています。
専門性の異なる2医院が協力することで、MIHによる歯の弱さを補いながら安全かつ確実な矯正治療が可能になります。
本記事では、MIHの基礎から原因・治療・矯正への影響まで、論文を引用しながら詳しく解説していきます。
MIH(エナメル質形成不全症)とはどんな疾患?
MIHは2001年にWeerheijmらによって明確に定義された疾患で、
6歳臼歯(第一大臼歯)と永久前歯に限定して発生するエナメル質の形成不全
とされています(Weerheijm KL., Eur J Paediatr Dent 2001)。
特徴的な症状は次の通りです。
- 白・黄・茶色の斑点がある
- 表面がザラザラしている
- 歯が欠けやすい
- 知覚過敏が強い
- 虫歯リスクが非常に高い
- 麻酔が効きにくいことがある
世界的な有病率は10〜20%とされ(Schmalfuss A., J Dent 2020)、決して珍しい疾患ではありません。
6歳臼歯は「人生で最も重要な歯」とも言われます。
当院ブログの 「6歳臼歯が重要な理由」 でも解説していますが、この歯はかみ合わせ全体の土台を作る中心的な役割を持っています。
その歯に形成不全があると、成長期の口腔発達にも大きな影響が出ます。
MIHはなぜ起こるのか?(論文でわかっている要因)
MIHの原因は単一ではなく、多くの要因が関連する“多因子性疾患”です。
特に以下の影響が研究で指摘されています。
- 妊娠中のストレス・体調
妊娠中のストレスや栄養状態は、胎児のエナメル質形成に影響する可能性があります。
(Alaluusua S., J Dent Res 2002)
- 乳幼児期の発熱を伴う感染症
インフルエンザ・肺炎・中耳炎など。
(Jälevik B., Eur Arch Paediatr Dent 2010)
- 抗生物質(特にアモキシシリン)の使用
複数論文でリスク上昇が報告。
(Laisi S., J Dent Res 2009)
- 環境汚染物質(ダイオキシンなど)
環境毒性物質とMIHの関連が指摘。
(Alaluusua S., Lancet 1996)
- ビタミンD不足
新しい研究で注目されている因子。
(Nicolaou O., Nutrients 2019)
このように、
妊娠中〜3歳頃の全身状態が影響する可能性のある疾患 です。
成長発育と歯並びの関係は、当院ブログ
「子どもの歯並びと成長の関係」
でも詳しく解説しています。
MIHの歯が「壊れやすい」理由は?
MIHの歯は、エナメル質の
- ミネラル不足
- 結晶構造の乱れ
- 有機成分の過多
が特徴で、通常の歯に比べて圧倒的に脆いことが明らかになっています。
これは顕微鏡レベルの構造異常で、
“スポンジのようなエナメル質” と表現されることもあります
(William V., J Dent Res 2006)。
そのため、
- ブラッシングで欠ける
- 冷水で強い痛み
- 虫歯の急速進行
- 修復物が外れやすい
- 矯正のブラケットが外れる
といった問題が起こります。
MIHの治療について:当院は“ふたぎ歯科医院”と連携
しま歯ならび矯正歯科は 「矯正専門医院」 であるため、MIHそのものの治療(レジン修復・クラウン・知覚過敏処置など)は行っていません。
そのため、
小児歯科専門医で高度なMIH治療を行う「ふたぎ歯科医院」
と提携し、患者さんに最適な治療環境をご提供しています。
▶ ふたぎ歯科医院(小児歯科専門医による高度小児歯科治療)
https://www.futagi-dental.com/
ふたぎ歯科医院では、MIHの症例に対して以下の専門的治療が可能です。
- 高濃度フッ素
- シーラント
- レジン修復
- 知覚過敏抑制
- ステンレスクラウン
- ジルコニアクラウン
- MIH特有の痛みへの配慮
こうした処置によって、
矯正治療のための“土台となる歯”を守ることができる
ため、当院としても大変信頼して連携しています。
また、当院ブログ
「小児歯科と連携する矯正のメリット」
でも詳しく紹介しています。
MIHが矯正治療に与える影響(特に重要)
ここが最も重要なポイントです。
MIH歯に矯正のブラケットを接着すると、
正常歯の3〜6倍の頻度で外れやすいという研究があります。
(Restrepo M., Angle Orthod 2016)
さらに、MIHの6歳臼歯は矯正治療の“支点”として弱すぎる場合があり、
- 支点として使えない
- 強い力をかけられない
- 痛みが出やすい
- 咬合コントロールが不安定
などの問題が生じます。
そのため当院では、MIH歯を無理に使わず
- マウスピース矯正(インビザライン)
- アンカースクリュー(TAD)
- 小臼歯・第二大臼歯を利用した力系設計
などを状況に応じて使い分けています。
装置の詳細は当院ブログ
「矯正装置の種類まとめ」
をご参考ください。
MIHがある場合の矯正治療の流れ(当院の連携モデル)
- 当院で歯並びとMIHの精密診断
- 必要に応じて、ふたぎ歯科医院へ紹介(MIHの治療)
- MIH歯の状態を確認しながら矯正装置の種類・力の設計を決定
- 装置装着後も2医院で情報共有
- 歯質の変化・痛み・装置脱離のフォロー
これは、MIHの子どもにとって非常に重要なプロセスです。
当院ブログの 「初診相談の流れ」 でも同様の方針をご案内しています。
まとめ:MIHがあっても矯正は可能。大切なのは“専門医の連携”
MIHは自然治癒しない疾患ですが、
小児歯科専門医と矯正専門医が連携することで、十分に安全な矯正治療が可能です。
MIHがあるから矯正は無理では?
ブラケットが付かないのでは?
と不安に思う方は少なくありませんが、
当院では専門医同士の連携で的確に対応できます。
まずはお気軽にご相談ください。
よくある質問(Q&A)
Q1. MIHがあると矯正治療は難しいですか?
→ 通常より注意点は多いですが、正しい診断と連携があれば問題なく可能です。
Q2. MIHの治療はしま歯ならび矯正歯科でできますか?
→ 当院は矯正専門のため、
ふたぎ歯科医院(小児歯科専門医) にて治療をお願いしています。
Q3. マウスピース矯正はMIHに向いていますか?
→ MIH歯にブラケットが外れやすい場合、マウスピースの方が適しているケースも多いです。
Q4. MIHの6歳臼歯は抜歯になることもありますか?
→ 重度の場合は将来の噛み合わせの観点から抜歯を検討することがあります。
小児歯科・矯正歯科で慎重な判断が必要です。
Q5. 早めに相談したほうがいいですか?
→ 絶対に早いほど良いです。
MIHは進行しやすく、治療タイミングを逃すと矯正計画に大きな影響が出ます。
当院のホームページはコチラ↓
【公式】しま歯ならび矯正歯科|堺市の矯正歯科 (shima-ortho-clinic.com)
予約フォームはコチラ↓
