ヘッダー画像

医療コラム

上顎前方牽引装置ってなに?|しま歯ならび矯正歯科【公式】|堺市・鳳駅の矯正歯科

上顎前方牽引装置ってなに?

上顎前方牽引装置とは?

 

反対咬合(受け口)を成長期に改善する治療について

目次(Index)

反対咬合とはどんな状態?

上顎前方牽引装置とは

なぜ成長期に行うのか

治療の流れと装着時間

どのくらい効果があるのか

拡大装置を併用する理由

メリットと注意点

将来への影響

まとめ

1. 反対咬合とはどんな状態?

反対咬合(いわゆる受け口)は、下の歯が上の歯より前に出ているかみ合わせです。

見た目だけの問題と思われがちですが、

・発音のしにくさ
・食事の効率低下
・顎関節への負担
・横顔のバランスの崩れ

など、成長とともに影響が広がることがあります。

反対咬合には大きく分けて三つのタイプがあります。

歯の傾きだけの問題

上あごの成長不足

下あごの強い成長

上顎前方牽引装置が適応になるのは「上あごの成長不足」が主な原因の場合です。
正確な診断が最も重要になります。

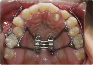
2. 上顎前方牽引装置とは

この装置は、顔の外側にフレームを装着し、上あごに前向きの力をかける装置です。
英語ではフェイスマスクと呼ばれることもあります。

目的は、成長期の骨の柔らかさを利用して、上あごを前方向へ成長させることです。

通常は、

・左右それぞれ約400〜600gの力
・1日12時間以上の装着

が目安になります。主に夜間を中心に使用します。

3. なぜ成長期に行うのか

この治療は、骨の成長が活発な時期にしか十分な効果が得られません。

一般的には6〜10歳頃が適応時期です。
成長が進んでからでは、骨への影響は少なくなり、歯の傾きだけが変化する可能性が高くなります。

つまり、この治療は「成長期限定」の選択肢です。

4. 治療の流れと装着時間

多くの場合、まず上あごを横に広げる装置(急速拡大装置)を使用します。
これは上あごの骨のつなぎ目をゆるめ、前に動きやすくするためです。

その後、上顎前方牽引装置を装着します。

装着時間が短いと効果は限定的になります。
お子さま本人の協力と、ご家族のサポートが治療結果を大きく左右します。

5. どのくらい効果があるのか

個人差はありますが、

・上あごが約2〜4mm前に出る
・かみ合わせが改善する
・横顔のバランスが整う

といった変化が期待できます。

ただし重要なのは、この治療は「将来、外科手術になる可能性を下げる治療」であり、必ず完全に治ると保証するものではないという点です。

思春期に下あごが強く成長した場合、再び受け口傾向が強まることもあります。

6. 拡大装置を併用する理由

急速拡大装置を併用することで、

・骨の反応性が高まる
・前方への移動量が増える

という利点があります。

単独で行うよりも、骨格への効果が大きくなると考えられています。

7. メリットと注意点

メリット:

・成長を利用できる
・将来の治療を軽くできる可能性がある
・早期に見た目が改善することがある

注意点:

・見た目の違和感がある
・最初は圧迫感や痛みを感じることがある
・装着時間に強く依存する
・将来再発する可能性がある

治療には限界があります。魔法の装置ではありません。

8. 将来への影響

何も治療しない場合、骨格の差は成長とともに広がることがあります。

早期に介入することで、

・ワイヤー矯正のみで済む可能性が高まる
・外科手術を避けられる可能性が上がる

といった未来につながります。

つまり、この治療の本質は「将来の選択肢を広げること」にあります。

9. まとめ

上顎前方牽引装置は、上あごの成長不足が原因の反対咬合に対して行う、成長期限定の治療です。

成功の鍵は、

・正確な診断
・適切なタイミング
・十分な装着時間

この三つです。

受け口が気になる場合は、できるだけ早めのご相談をおすすめします。
早期の診断が、将来の治療方針を大きく左右します。

 

pagetop